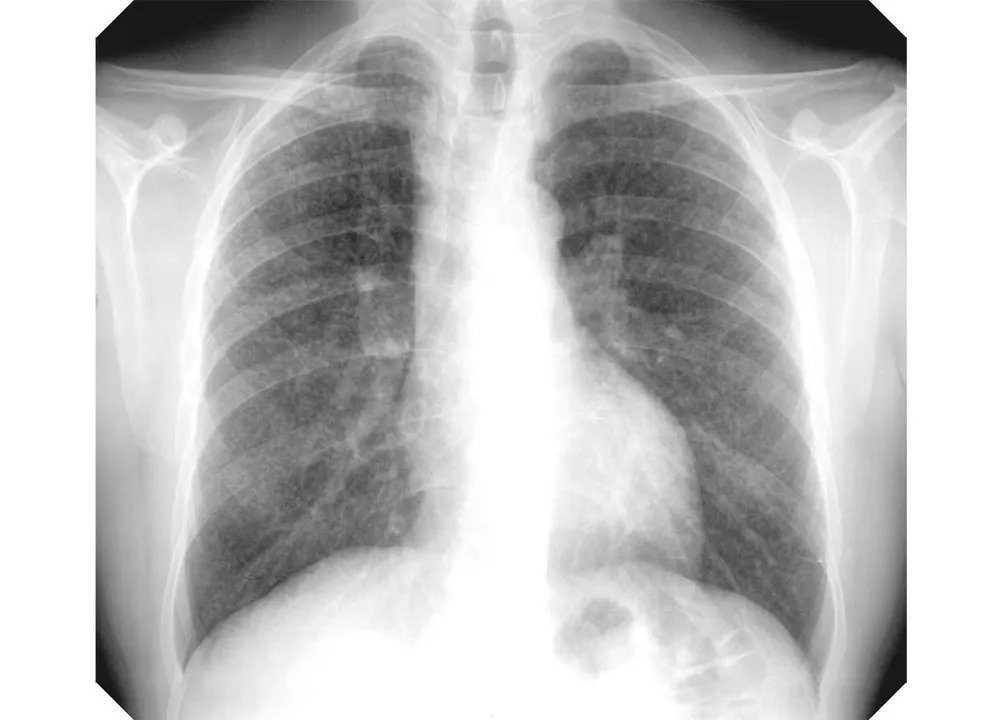
ସୁନ୍ଦରଗଡ଼: ଚିନ୍ତା ବଢ଼ାଉଛି ସିଲିକୋସିସ୍ ରୋଗ। ସୁନ୍ଦରଗଡ଼ ଜିଲ୍ଲାରେ କ୍ରମାଗତ ଭାବେ ରୋଗୀଙ୍କ ସଂଖ୍ୟା ଉଦ୍ବେଗଜନକ ଭାବେ ବୃଦ୍ଧି ପାଉଥିବାବେଳେ ଏହାର ଚିକିତ୍ସା ହୋଇନପାରିବା ଚିନ୍ତାର କାରଣ ହୋଇଛି। ରାଉରକେଲା ପୁରୁଣା ଜଲଦାର ଅଜୟ ଗିରି ଏକ ପଥର କ୍ରସର୍ରେ ୨୩ ବର୍ଷ ଧରି କାମ କରୁଥିଲେ। ଫୁସ୍ଫୁସ୍ଜନିତ ରୋଗରେ ଆକ୍ରାନ୍ତ ଅଜୟ ବୁର୍ଲା ବୀର ସୁରେନ୍ଦ୍ରସାଏ ଡାକ୍ତରଖାନାରେ ପରୀକ୍ଷା କରାଇବା ପରେ ତାଙ୍କୁ ସିଲିକୋସିସ୍ ରୋଗ ହୋଇଥିବା ଜଣାପଡ଼ିଥିଲା। ସିଲିକୋସିସ୍ ରୋଗର ଚିକିତ୍ସା ନଥିବା କହି ତାଙ୍କୁ କେବଳ ଫୁସ୍ଫୁସ୍ ରୋଗର ଚିକିତ୍ସା କରି ଘରକୁ ପଠାଇ ଦିଆଗଲା। ଖଣି ଅଞ୍ଚଳରୁ ଉତ୍ପନ୍ନ ମାରାତ୍ମକ ସିଲିକୋସିସ୍ ରୋଗ ଯକ୍ଷ୍ମା ଓ ଆଜମା ଭିତରେ ଲୁଚି ଯାଉଛି। ଏହି ରୋଗ ସମ୍ପର୍କରେ ସ୍ବାସ୍ଥ୍ୟ ବିଭାଗର କୌଣସି ଅଧ୍ୟୟନ ନାହିଁ। ସଚେତନତା ଅଭାବରୁ ଏ ରୋଗ ଦିନକୁ ଦିନ ବଢ଼ିଚାଲିଛି।
ସିଲିକୋସିସ୍ ସଂକ୍ରାନ୍ତରେ ଖଣିବହୁଳ ସୁନ୍ଦରଗଡ଼ ଜିଲ୍ଲାରୁ ଚମକାଇ ଦେଲା ଭଳି ତଥ୍ୟ ସାମନାକୁ ଆସିଛି। ୨୦୧୫ରୁ ୨୦୧୯, ୫ ବର୍ଷ ମଧ୍ୟରେ ଜିଲ୍ଲାରେ ଏହି ରୋଗରେ ଆକ୍ରାନ୍ତଙ୍କ ସଂଖ୍ୟା ୭୨୬୯୫ ଥିବା ସ୍ବାସ୍ଥ୍ୟ ବିଭାଗର ରିପୋର୍ଟ କହୁଛି। ତଥ୍ୟାନୁସାରେ, ୨୦୧୫ରେ ବର୍ହିବିଭାଗରେ ୧୦୯୯୭, ୨୦୧୬ରେ ୧୩୧୨୪, ୨୦୧୭ରେ ୧୭୦୮୪, ୨୦୧୮ରେ ୨୦୭୫୦, ୨୦୧୯ରେ ୧୦୭୪୦ ସିଲିକୋସିସ୍ ଲକ୍ଷଣ ଥିବା ରୋଗୀ ଆସିଥିଲେ। ସେହିପରି ଜିଲ୍ଲାର ଡାକ୍ତରଖାନାଗୁଡ଼ିକରେ ୫ ବର୍ଷରେ ୨୬୩ ଜଣ ରୋଗୀ ଚିକିତ୍ସିତ ହୋଇଥିବା ତଥ୍ୟ ରହିଛି। ୨୦୧୫ରେ ୨୯, ୨୦୧୬ରେ ୩୯, ୨୦୧୭ରେ ୧୨୨, ୨୦୧୮ରେ ୬୩ ଓ ୨୦୧୯ରେ ୧୦ ଜଣ ରୋଗୀ ଚିକିତ୍ସିତ ହୋଇଥିଲେ। ତେବେ ଆଶ୍ଚର୍ଯ୍ୟଜନକ ଭାବେ ତା’ ପରବର୍ଷ ଅର୍ଥାତ୍ ୨୦୨୦ ରିପୋର୍ଟରେ ରୋଗୀ ସଂଖ୍ୟା ଶୂନ ରହିଛି। ସିଲିକା ନାମକ ଏକ ଗୁଣ୍ଡ ଯୋଗୁ ହେଉଥିବା ସିଲିକୋସିସ୍ ରୋଗ ଫୁସଫୁସକୁ ଆକ୍ରାନ୍ତ କରିଥାଏ। ବିଶେଷ କରି ପଥର, ସୁନାଖଣି, ଚୂନପଥର, କାଚ, କୋଇଲା ଖଣି ସମେତ ସିମେଣ୍ଟ କାରଖାନାର ଶ୍ରମିକମାନେ ଏଥିରେ ଆକ୍ରାନ୍ତ ହୋଇଥାନ୍ତି। ସୁନ୍ଦରଗଡ଼ରେ ଉପରୋକ୍ତ ଖଣି କାରଖାନା ରହିଥିବାରୁ ସିଲିକୋସିସ୍ ଆକ୍ରାନ୍ତଙ୍କ ସଂଖ୍ୟା ଏଠାରେ ଅଧିକ। କିନ୍ତୁ ସ୍ବାସ୍ଥ୍ୟ ବିଭାଗ ଏହାକୁ ସେତେଟା ଗୁରୁତ୍ବ ଦେଉ ନଥିବା ଅଭିଯୋଗ ହେଉଛି। ଜିଲ୍ଲା ମୁଖ୍ୟ ଚିକିତ୍ସା ଓ ଜନସ୍ବାସ୍ଥ୍ୟ ଅଧିକାରୀ ଡ. ସୁରେଶଚନ୍ଦ୍ର ମହାନ୍ତି କହିଛନ୍ତି ସିଲିକୋସିସ୍ ରୋଗ ଚିହ୍ନଟ ବା ଚିକିତ୍ସା ବ୍ୟବସ୍ଥା ନଥିବାରୁ ଏ ସମ୍ପର୍କରେ ଜାଣିବା ମୁସ୍କିଲ।
/sambad/media/agency_attachments/2024-07-24t043029592z-sambad-original.webp)
/sambad/media/member_avatars/2025/12/26/2025-12-26t132446534z-whatsapp-image-2025-12-26-at-65430-pm-2025-12-26-18-54-47.jpeg)
/sambad/media/media_files/2025/11/13/silicous-2025-11-13-00-14-55.jpg)